Introduzione alla spermatogenesi
Con questo nome indichiamo il processo animale che porta alla formazione e alla maturazione dei gameti maschili, o spermatozoi. La maggior parte delle classi di animali possiede delle ghiandole ben definite deputate a questa funzione, ovvero le gonadi. Più comunemente le chiamiamo testicoli nei maschi e ovaie nelle femmine: nei primi si formano gli spermatozoi, nelle altre gli ovuli.
Il processo che analizzeremo di seguito è analogo all’ovogenesi ma presenta una differenza sostanziale. Negli uomini la produzione dei gameti parte durante la pubertà e dura per tutta la vita, mentre gli ovuli si formano prima della nascita in un numero fisso, che si esaurisce al momento dela menopausa.
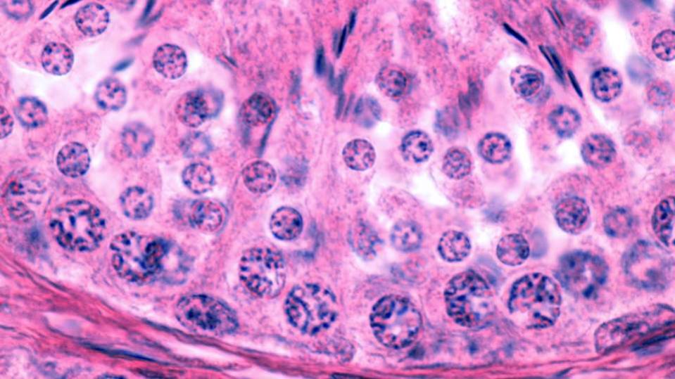
La struttura del testicolo
La formazione dei testicoli inizia già intorno al secondo mese di gravidanza quando si generano le gonadi indifferenziate o bipotenziali.
Sul cromosoma Y si trova un gene dominante che porta al differenziamento in testicoli, ma se è assente si formano invece le ovaie (le femmine infatti hanno due cromosomi X). All’interno delle gonadi maschili distinguiamo più tipi cellulari:
- Cellule di Leydig: si trovano negli interstizi fra i tubuli seminiferi e formano nel loro insieme la Ghiandola Sinciziale del testicolo. La loro funzione principale è quella di produrre testosterone, più altri ormoni in piccole quantità.
- Cellule del Sertoli: si tratta di cellule con funzione si sostegno presenti all’interno dei tubuli seminiferi. Aiutano a maturare i gameti maschili e producono l’ormone antimulleriano (AMH) che inibisce la formazione di strutture dell’apparato genitale femminile. L’AMH porta infatti a riassorbire il dotto di Muller, che altrimenti produrrebbe l’utero, la cervice e le tube uterine.
- Spermatogoni: sono presenti dalla nascita ma iniziano a proliferare verso i 10 anni. Si dividono in due classi, che distinguiamo parlando di spermatogoni di tipo A e di tipo B. I primi sono cellule staminali che formano una riserva stabile e si dividono solo per mitosi, mentre i secondi vanno incontro a meiosi e svolgono la spermatogenesi.
Le tre fasi della spermatogenesi
Questa fase è tipica delle cellule germinali (si verifica anche negli ovuli) e precede la loro maturazione definitiva. Gli spermatociti I una volta completata l’auxocitosi vanno incontro alla prima divisione meiotica (meiosi I).
Da una coppia di spermatociti I uniti dal ponte citoplasmatico otteniamo quindi 4 spermatociti II con corredo aploide ma con i cromatidi fratelli ancora uniti.
La spermatogenesi procede poi con la seconda divisione meiotica che produce gli spermatidi, separando i cromatidi fratelli di ogni cromosoma.
Ogni spermatide quindi contiene esattamente 23 cromosomi, e sono ancora uniti fra loro a livello del citoplasma. Si sono quindi succedute una mitosi e una meiosi, ma il processo non è finito Arrivati a questo stadio i gameti maschili vanno incontro alla spermiogenesi, il processo di maturazione per ricavare gli spermatozoi.
Gli stadi della spermiogenesi
Al suo interno contiene enzimi idrolitici per digerire la membrana esterna dell’ovocita e consentire allo spermatozoo di penetrare.
Questo consente alla testa dello spermatozoo di risultare più idrodinamica. Infine la spermiogenesi e la spermatogenesi si concludono con la formazione del flagello.
Si tratta di una struttura composta da una parte rigida detta collo, di forma cilindrica allungata, e da una parte mobile ed elastica detta coda. La funzione del flagello è permettere allo spermatozoo di muoversi attivamente.
I mitocondri presenti nel collo producono l’ATP necessario per fornire l’energia che lo spermatozoo consuma muovendosi. La coda è formata da due proteine, dineina e tubulina (struttura dimerica α/β).
La tubulina forma nove coppie di microtubuli disposte a raggio, più due centrali, mentre la dineina ha la funzione di “motore” per il flagello. Idrolizzando l’ATP fa scorrere i microtubuli uno sull’altro producendo il movimento della coda.
Possibili cause di alterazione della spermatogenesi
Ci sono diversi fattori che possono causare problemi a questo processo, i cui risultati spesso portano a problemi di fertilità maschile.
Uno dei più comuni è l’oligospermia/ipospermia, ovvero una quantità ridotta di spermatozoi nello sperma. Questa condizione si configura quando in seguito all’analisi del liquido seminale il numero dei gameti scende al di sotto dei 20 milioni per millilitro.
Le interazioni farmacologiche sono una delle prime cause da accertare in quanto alcuni principi attivi hanno effetto sulla produzione di spermatozoi.
Tuttavia una diminuzione consistente può essere legata anche a malattie metaboliche come la sindrome di Icenko-Cushing.
Chi soffre di questa patologia produce un eccesso di cortisolo che ha diverse ripercussioni sull’apparato riproduttivo: oltre all’ipospermia si nota un calo della libido e problemi di erezione negli uomini, mentre nelle donne si presenta l’amenorrea.
Per favorire la spermatogenesi si può ricorrere a integratori contenenti zinco, selenio e vitamina E, prima di passare a una terapia farmacologica.
